Dr Memoli

Holistic Dentistry NJ: Dr Memoli Dental Clinics in New Jersey

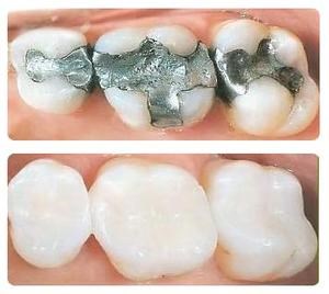
Dr. Memoli regularly receives referrals from medical doctors for patients who are experiencing mercury toxicity from amalgam fillings.

  • Holistic Dentistry NJ: Dr Memoli Dental Clinics in New Jersey
Dr. Philip Memoli is the founder of the Center For Systemic Dentistry, and has nearly 30 years of experience in systemic dentistry, acupuncture, homeopathy, and nutrition, which, along with traditional dental methods, form the basis of his dental practice.

• Dont just worry about the things you cannot help.
• Eat Healthy, work better, do gardening.
• Some relationships can kill you. Avoid them at the most.
• Focus on the good things that you like
• Eat Healthy, work better, do gardening.

I have More than 30 Years of Experience in Different Dentistry Problems. For Appointment Call us 1 (908) 464-9144.

Comments: 0

There are no comments yet, be the first to write a comment!